ОСНОВНІ ПЕРЕВАГИ GENÈVE 40M:
- Моторизовані рухи та потужність: рентгенівська система забезпечує запас моторизованого ходу до 30 км та можливість підйому на поверхні під кутом до 12°. Батарея має ресурс до 1000 експозицій, що гарантує високу мобільність та автономність під час роботи.
- Система сенсорів проти зіткнень: інтегровані датчики забезпечують безпеку, автоматично запобігаючи зіткненням, що знижує ризик пошкодження обладнання та травмування персоналу чи пацієнтів.
- Високоякісні цифрові зображення — діагностична точність: потужний бездротовий цифровий детектор забезпечує отримання чітких і деталізованих знімків навіть у складних клінічних умовах. Детектор заряджається у спеціальному відсіку всередині апарата та захищений електронним замком.
- Висока маневровість: завдяки обертанню колони на ±315°, підйому/опусканню та телескопічному руху випромінювача система забезпечує широкі можливості для точного налаштування положення та проведення зйомки.
- iGCR (intelligent Grayscale Compensation of ROI): інтелектуальна компенсація відтінків сірого в області дослідження. iGCR розпізнає область ефективної експозиції за допомогою технології визначення ROI та коригує рівні сірого.
- iTE (intelligent Tissue Equalization): система аналізує структуру зображення, використовуючи технологію оптимізації градацій сірого та стиснення динамічного діапазону, забезпечуючи неперевершену візуалізацію кісток, м’яких тканин та накладених структур.
- iMR (intelligent Metal-Recognition): інтелектуальний аналіз і розпізнавання металевих елементів на зображенні з подальшою обробкою у спеціальному режимі, що дозволяє уникнути артефактів навколо металу та запобігти можливим діагностичним помилкам.
- iDG (intelligent DeGrid): алгоритм розпізнавання артефактів від протизасвітної решітки, який дозволяє зберегти високу якість зображення.
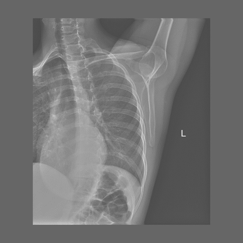
КЛІНІЧНА ГАЛЕРЕЯ GENÈVE 40M:
![]() |
![]() |
![]() |
![]() |
![]() |
![]() |
Купити мобільну рентгенографічну систему Genève 40M GMI можна в нашому інтернет-магазині — просто надішліть запит на med@hlr.ua або зателефонуйте за номером +380 (67) 240-41-96.





